
El Servicio de Tomografía de La E.S.E. Hospital San Antonio de Pitalito, brinda la mejor atención a través de resultados confiables que aportan al tratamiento y diagnóstico de los pacientes. Se atienden pacientes adultos y pediátricos las 24 horas del día y los siete días de la semana, ambulatorios, hospitalizados y de urgencias
Servicios Estratégicos
Contamos con un equipo de última generación (128 cortes/detectores) que garantiza diagnósticos más oportunos, confiables, cumpliendo con los más altos estándares de seguridad radiológica. Desde nuestra apertura nos hemos especializado por ser innovadores en tecnología, trabajar en el mejoramiento continuo de los procesos clínicos, administrativos, capacitación continua de nuestro personal, estructuralmente buscamos comodidad para el paciente a través de un SONIDO ARMONICO, IMÁGENES REALES, AMBIENTACIÓN TRANQUILA Y CONFORTABLE para incrementar la capacidad y calidad de atención al usuario. Estamos dedicados a un mejoramiento continuo, seguridad del paciente y humanización en el trato a nuestros usuarios

Sala de Procedimientos
Stand de procedimientos

Contamos con una sala de procedimiento la cual cuida a nuestros usuarios y al talento humano, además que da confianza y confort al paciente.
Stand de Lectura

Servicios Ofrecidos en Tomografías
- CRANEO SIMPLE
- CRANEO CON CONTRASTE
- CRANEO SIMPLE Y CON CONTRASTE
- CISTERNOGRAFIA
- SILLA TURCA U OIDO (INCLUYE CORTES AXIALES Y CORONALES)
- SENOS PARANASALES O RINIFARINGE (INCLUYE CORTES AXIALES Y CORONALES)
- ORBITAS (INCLUYE CORTESAXIALES Y CORONALES)
- COLUMNA CERVICAL, DOSAL O LUMBAR (HASTA 3 ESPACIOS)
- COLUMNA CERVICAL, DOSAL O LUMBAR (ESPACIO ADICIONAL)
- LARINGE O CUELLO
- LARINGE Y CUELLO
- TORAX (TACAR SIMPLE)
- TORAX EXTENDIDO AL ABDOMEN SUPERIOR
- ABDOMEN SUPERIOR
- PELVIS
- ABDOMEN TOTAL
- CADERA
- EXTREMIDADES Y ARTICULACIONES (SUPERIORES)
- EXTREMIDADES Y ARTICULACIONES (INFERIORES)
- MIEMBROS INFERIORES (ANTEVERSION FEMORAL O TORSION TIBIAL)
- MIEMBROS INFERIORES (AXIALES DE ROTULA O LONGITUD DE MIEMBROS INFERIORES
- ARTICULACION TEMPORO MANDIBULAR (BILATERAL)
- RECONSTRUCCION TRIDIMENCIONAL
- OIDO, PEÑASCO, CONDUCTOS AUDITIVOS INTERNOS
- VIAS URINARIAS (UROTAC)
- UROGRAFIA CON TOMOGRAFIA COMPUTADA
- GUIA ESCANOGRAFICA PARA PROCEDIMIENTO INTERVENCIONISTA (A LA ZONA A AGREGAR)
- TOMOGRAFIA COMPUTADA DE VASOS (ANGIOTAC/incluye reconstrucción en 3d)
- TOMOGRAFIA COMPUTADA DE CORAZON Y GRANDES VASOS
- TOMOGRAFIA COMPUTADA DE INTESTINO (ENTEROTC)
- TOMOGRAFIA COMPUTADA DE CORONARIAS (ANGIOTAC CORONARIO)
- TOMOGRAFIA COMPUTADA CON PERFUSION
- TOMOGRAFIA COMPUTADA EN RECONSTRUCCION VIRTUAL
Beneficios
- Personal altamente calificado.
- Atención personalizada y tiempos de espera cortos.
- Información y preparación para los procedimientos al momento de agendar las citas.
- Insumos de alta calidad.
- Atención humanizada.
- Equipos con alta resolución de imagen y avanzada tecnología.
Talento Humano
Contamos con el personal mas calificado para realizar los estudios de tomografía y las respectivas lecturas.
4 Tecnólogos en imágenes diagnosticas
- Jadith Cassiani
- Mayra Cuellar
- Felipe Collazos
- Carlos Viscué

1 Transcriptora y apoyo administrativo
- Leidy Echeverri

2 Médicos Radiólogos
- Javier Munar
- Camilo Martínez

1 Líder del proceso de Tomografía
- Angela Ordoñez Casa
Logros
- Contamos con la mejor tecnología y equipo humano para el mejor diagnóstico
- Disponibilidad del personal para ofrecer un buen servicio las 24 horas, todos los días de la semana
- En el 2021 mejoramos nuestra tecnología y contamos con el TOMOGRAFO COMPUTARIZADO PHILIPS (128 cortes/detectores), el cual permite el procesamiento de las imágenes por secciones para la realización de tomografías y mejores diagnósticos.
Indicadores
- Oportunidad de lectura de resultados de ayudas diagnosticas ambulatorios
- Oportunidad de atención en servicios de imagenología TAC
- Oportunidad de atención en servicios de imagenología TAC
- Porcentaje de inasistencia en TAC
- Proporción en cancelación en TAC
- Proporción de inasistencia de TAC
- Eventos e incidentes relacionados con administración de medicamentos (medios de contraste)
- Tasa de caídas

Horario
Pacientes Hospitalizados: 24 Horas
Pacientes ambulatorios: De lunes a viernes de 7: a.m. a 12:00 p.m. y de 2:00 a.m. a 5:30 p.m.
Información de Contacto
Para mayor información:
- Teléfono: (601) 8362500. Ext. 156
- Correo para citas: citastomografiapitalitohs@gmail.com

Es un examen imagenológico que utiliza imanes y ondas de radio potentes para crear imágenes del cuerpo. NO SE EMPLEA RADIACIÓN IONIZANTE (rayos X).
Las imágenes por resonancia magnética (IRM) solas se denominan cortes. Se pueden almacenar en una computadora o imprimir en una película. Un examen puede producir miles de imágenes.
Usted se acostará sobre una mesa angosta, la cual se desliza dentro de un escáner grande similar a un túnel.
Algunos exámenes de resonancia magnética requieren de un tinte especial, llamado medio de contraste. El tinte por lo regular se administra durante el examen a través de una vena (IV) en la mano o el antebrazo. Este medio de contraste ayuda al radiólogo a observar más claramente ciertas zonas.
Durante la resonancia magnética, la persona que opera la máquina lo vigila desde otro cuarto. El examen casi siempre dura de 30 a 60 minutos, pero puede demorar más tiempo.
El equipo de resonancia cuenta con ambientación de luces led de colores, y audio (música) que ayudan a minimizar la claustrofobia.
Sala de Procedimiento

Servicios Ofrecidos en el Servicio de Resonancia Magnética
- RESONANCIA MAGNETICA DE CABEZA, CARA Y CUELLO
- RESONANCIA MAGNETICA DE CEREBRO
- RESONANCIA MAGNETICA DE BASE DE CRANEO O SILLA TURCA
- RESONANCIA MAGNETICA DE ORBITAS
- RESONANCIA MAGNETICA DE ARTICULACION TEMPOROMANDIBULAR
- RESONANCIA MAGNETICA DE CEREBRO CON TRACTOGRAFIA
- RESONANCIA MAGNETICA PARA EVALUACION DINAMICA DE LIQUIDO CEFALORRAQUIDEO
- RESONANCIA MAGNETICA DE PARES CRANEANOS
- RESONANCIA MAGNETICA DE OIDOS
- RESONANCIA MAGNETICA DE SENOS PARANASALES O CARA
- RESONANCIA MAGNETICA DE CUELLO
- RESONANCIA MAGNETICA DE COLUMNA VERTEBRAL Y CANAL ESPINAL
- RESONANCIA MAGNETICA DE COLUMNA CERVICAL SIMPLE
- RESONANCIA MAGNETICA DE COLUMNA CERVICAL CON CONTRASTE
- RESONANCIA MAGNETICA DE COLUMNA TORACICA SIMPLE
- RESONANCIA MAGNETICA DE COLUMNA TORACICA CON CONTRASTE
- RESONANCIA MAGNETICA DE COLUMNA LUMBOSACRA SIMPLE
- RESONANCIA MAGNETICA DE COLUMNA LUMBAR CON CONTRASTE
- RESONANCIA MAGNETICA DE COLUMNA SACROILIACA SIMPLE
- RESONANCIA MAGNETICA DE COLUMNA SACROILIACA CON CONTRASTE
- RESONANCIA MAGNETICA DE COLUMNA SACROCOXIGEA SIMPLE
- RESONANCIA MAGNETICA DE COLUMNA SACROCOXIGEA CON CONTRASTE
- RESONANCIA MAGNETICA DE TORAX
- RESONANCIA MAGNETICA DEL TÓRAX
- RESONANCIA MAGNETICA DE CORAZON CON VALORACION DE LA MORFOLOGIA (CARACTERIZACION TISULAR)
- ANGIORRESONANCIA DE TORAX (SIN INCLUIR CORAZON)
- RESONANCIA MAGNETICA DE MAMA
- RESONANCIA MAGNETICA DE OTRAS ESTRUCTURAS NO ESPECIFICADAS DEL TORAX Y SISTEMA CARDIOVASCULAR
- RESONANCIA MAGNETICA DE ABDOMEN Y PELVIS
- RESONANCIA MAGNETICA DE ABDOMEN
- RESONANCIA MAGNETICA DE VIAS BILIARES
- COLANGIORESONANCIA
- RESONANCIA MAGNETICA DE VIA URINARIA [URORRESONANCIA]
- RESONANCIA MAGNETICA DE INTESTINO [ENTERORM]
- RESONANCIA MAGNETICA DE PELVIS
- RESONANCIA MAGNETICA DINAMICA DE PISO PELVICO
- RESONANCIA MAGNETICA OBSTETRICA
- RESONANCIA MAGNETICA DE PLACENTA
- RESONANCIA MAGNETICA DE EXTREMIDADES
- RESONANCIA MAGNETICA DE MIEMBRO SUPERIOR SIN INCLUIR ARTICULACIONES
- RESONANCIA MAGNETICA DE ARTICULACIONES DE MIEMBRO SUPERIOR (ESPECIFICO)
- RESONANCIA MAGNETICA DE MIEMBRO INFERIOR SIN INCLUIR ARTICULACIONES
- RESONANCIA MAGNETICA DE ARTICULACIONES DE MIEMBRO INFERIOR (ESPECIFICO)
- RESONANCIA MAGNETICA DE ARTICULACIONES COMPARATIVA
- RESONANCIA MAGNETICA DE PLEJO BRAQUIAL
- RESONANCIA MAGNETICA DE SISTEMA MUSCULO ESQUELETICO
- RESONANCIA MAGNETICA DE MEDULA OSEA
- RESONANCIA MAGNETICA DE MEDULA OSEA (ESTUDIO DE SUPLENCIA VASCULAR)
- ESTUDIOS DE RESONANCIA MAGNETICA NO CLASIFICADOS BAJO OTRO CONCEPTO
- RESONANCIA MAGNETICA CON PERFUSION
- ESPECTROSCOPIA
- RESONANCIA MAGNETICA DE VASOS
- ANGIORM
- RESONANCIA MAGNETICA CON ANGIOGRAFIA
- RESONANCIA MAGNETICA CON RECONSTRUCCION TRIDIMENSIONAL
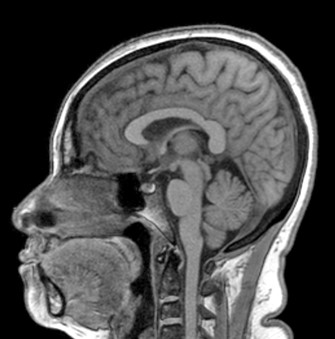
Resonancia Magnética de Cerebro

Una resonancia magnética proporciona imágenes detalladas de los tejidos del cerebro y los nervios. Una resonancia magnética del cerebro puede usarse para diagnosticar y vigilar muchas enfermedades y trastornos que afectan dicho órgano, como: Anomalía congénita.
Resonancia Magnética de Columna Lumbosacra

La resonancia magnética permite detectar una variedad de afecciones en la columna lumbar, lo cual incluye problemas con los huesos (vértebras), los tejidos blandos, los nervios y los discos.
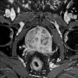
Resonancia Magnética de Prostata

La resonancia magnética (RMN) utiliza un campo magnético, pulsos de radiofrecuencia y una computadora para producir imágenes detalladas del cuerpo. Los médicos utilizan la RMN de la próstata para evaluar la extensión del cáncer de próstata y para determinar si se ha diseminado.
Resonancia Magnética de Placenta

Mediante una resonancia magnética de placenta, él especialista puede evaluar la profundidad en la cual está implantada la placenta en la pared uterina, y descartar el acretismo placentario, La placenta acreta es una de las anomalías placentarias más comunes, que incluso puede llevar a la muerte materna y fetal, lo cual se puede evitar con un diagnóstico oportuno. (La resonancia magnética no es nociva para el desarrollo fetal).
Resonancia Magnética de Intestino

El objetivo de la ENTERO – RM, también llamada RESONANCIA DE INTESTINO es visualizar las paredes del intestino, y poder determinar si presenta alguna malformación, divertículos, zonas de inflamación, fístulas o incluso tumores, (enfermedad de Crohn).
Resonancia Magnética de Mama

La resonancia magnética de las mamas es un examen que se utiliza para detectar cáncer de mama y valoración de implantes mamarios y otras anomalías de las mamas
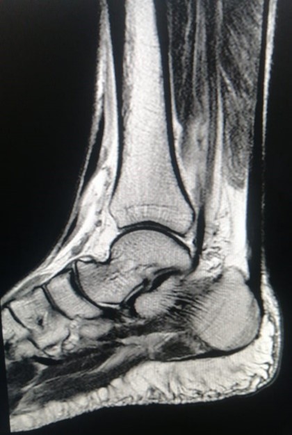
Resonancia Magnética de Articulaciones



Resonancia magnética de los huesos y las articulaciones.
La resonancia magnética puede ayudar a evaluar: Anomalías en las articulaciones causadas por lesiones traumáticas o reiteradas, como cartílago o ligamentos dañados. Anomalías de los discos en la columna vertebral. Infecciones óseas
Espectroscopia Por Resonancia Magnética

La espectroscopía tiene aplicación en todos los campos de la química: Permite la determinación de ángulos, longitudes de enlace, conformaciones y frecuencias de vibración en moléculas. La química analítica emplea la espectroscopía para determinar la composición de una muestra.
Tractografía Por Resonancia Magnética


Una tractografía es un procedimiento que se usa para visualizar los tractos neurales a través de Resonancia Magnética (RM) de cerebro. Este procedimiento es utilizado frecuentemente para evaluar los tractos afectados por un tumor y así poder operar respetando el mayor número de axones neuronales.
Resonancia Magnética para Biopolímeros en Glúteos

Le permite al especialista determinar realmente cual es el compromiso de los tejidos, en tejido graso, el músculo y la piel. Precisando el comportamiento de estos materiales, y su ubicación pueden estar localizados de manera superficial o profunda con migración a zonas vecinas y compromiso del músculo.
Estas Sustancias son infiltradas bajo la piel del rostro o el cuerpo con el fin de atenuar arrugas, líneas de expresión o aumentar el volumen de ciertas áreas como caderas, senos, muslos, glúteos y piernas, el organismo los encapsula formando un tejido inflamatorio dando origen a granulomas que se manifiestan como abultamientos y deformidades que pueden tratarse mediante tratamiento o procedimientos quirúrgicos.
Preparaciones resonancias simples y contrastadas
Talento Humano
EN EL SERVICIO DE RESONANCIA MAGNETICA CONTAMOS UN TALENTO HUMANO IDONEO, HUMANIZADO, CAPACITADO, PENSANDO SIEMPRE EN PRESTAR EL MEJOR SERVICIO A NUESTROS PACIENTES Y SU FAMILIAS.
- HECTOR DANIEL BLANCO – MEDICO RADIOLOGO.
- DARWIN ORTIZ VILLALOBOS-TECNOLOGO EN IMÁGENES DIAGNOSTICAS.
- ESPERANZA SCARPETTA – AUXILIAR DE ENFERMERIA.
- VANESSA SANDOVAL PALOMINO – COORDINADORA DEL SERVICIO.




Logros
Contamos con equipo de última tecnología (RESONADOR MAGNETIVO MULTIVA 1.5 TESLAS DE 16 CANALES, MARCA PHILIPS) y personal de talento humano idóneo, para prestar un servicio humanizado y confiable, orientado en la transformación organizacional y el mejoramiento en la calidad de vida de nuestros pacientes.
Indicador
La oportunidad en asignación de cita para resonancia magnética está a 1 día.
Horario de Atención
LUNES A VIERNES
8:00AM A 12:00PM Y DE 2:00PM A 6:00PM
SÁBADOS
8:00AM A 12:00PM
Contáctenos
Teléfono Fijo: 8362500 EXT 350
Anexos








El Servicio de Radiología y Ecografías de La E.S.E. Hospital San Antonio de Pitalito, brinda la mejor atención, a través de resultados confiables que aportan al tratamiento y diagnóstico de los pacientes. Se atienden pacientes adultos y pediátricos las 24 horas del día y los siete días de la semana, ambulatorios, hospitalizados y de urgencias.
Servicios Estratégicos
El Servicio de Radiología y Ecografías está orientado a alcanzar los mejores resultados durante la atención al cliente /usuarios y sus familias.
Trabajo en equipo integral con todos los especialistas para brindar mejores resultados.
Talento Humano
El Servicio de Radiología y Ecografía cuenta con un recurso humano capacitado e idóneo para brindar la mejor atención a los usuarios.
- Médico Especialista en Radiología
- Técnicos Rx
- Tecnólogos Rx
- Tecnólogos Resonancia
- Transcriptoras
- Auxiliares de Enfermería
Infraestructura Física y Tecnológica
Los equipos de imagenología de la institución implementan para su funcionamiento un tipo de energía denominada radiación ionizante la cual se produce en forma de rayos x. Por otra parte, se encuentran los equipos de ultrasonido como lo son los ecógrafos que utilizan como principio de funcionamiento las ondas de ultrasonido para recrear imágenes de órganos y tejidos. Estos a su vez cuentan con una tecnología de punta la cual ha venido siendo actualizada con el pasar del tiempo (aplicaciones, software, accesorios y demás componentes). Esto con el fin de prestar un mejor servicio a los usuarios de la E.S.E. HOSPITAL DEPARTAMENTAL SAN ANTONIO DE PITALITO.
Logros
- Contamos con la mejor tecnología y equipo humano para el mejor diagnóstico
- Disponibilidad del personal para ofrecer un buen servicio las 24 horas, todos los días de la semana
Indicadores
- Oportunidad de lectura de resultados de ayudas diagnosticas ambulatorios: imagenología (Rayos X)
- Oportunidad de atención en servicios de imagenologia Rayos X
- Oportunidad de atención en servicios de imagenologia Ecografías
- Porcentaje de inasistencia en Rx
- Proporción en cancelación en Rx
- Proporción de inasistencia de Rx
- Proporción de demanda insatisfecha
- Porcentaje de errores en la toma de imágenes en imagenologia
- Porcentaje de imágenes rechazadas por calidad de la imagen
- Porcentaje de estudios repetidos
- Porcentaje de incidentes o eventos adversos asociados a fallas en la identificación de pacientes
- Eventos e incidentes relacionados con administración de medicamentos (medios de contraste)
- Tasa de caídas
- Porcentaje de Satisfacción de los usuarios
- Cumplimiento a la adecuada preparación del paciente parta toma de imagen diagnostica que interfiere en la toma de la imagen
Radiología Convencional
La radiografía consiste en la obtención de una imagen radiológica de la zona anatómica que se desea estudiar. Esta imagen surge de la interposición de la zona anatómica a estudio entre una fuente emisora de radiación ionizante (rayos X) y una placa radiográfica o un registro fotográfico digital. En función de la zona anatómica que se quiera estudiar, la radiografía puede tener diferentes nombres, los más comunes son:
- Radiografía de tórax
- Radiografía de abdomen
- Radiografía de pelvis
- Radiografía de cráneo
- Radiografía de senos paranasales
- Radiografía de columna vertebra
- Radiografía ósea
RECOMENDACIONES GENERALES Y PREPARACION PARA RADIOLOGÍA:
- Si esta embarazada o sospecha estarlo por favor informe ya que en estos casos la toma del estudio está contraindicada y se realizará únicamente con su consentimiento informado.
- Pacientes menores de edad deben asistir con un acompañante mayor de edad.
- Si el paciente tiene alguna discapacidad, debe venir con dos acompañantes.
- Llegar 30 minutos antes de la cita al lugar que le fue indicado al momento de la asignación para realizar ingreso y tener disponibilidad de 2 hora de tiempo.
- Traer orden y autorización vigente según su entidad.
- Traer estudios previos relacionados si los tiene.
TENER EN CUENTA:
- El estudio radiológico se realiza en la sala de radiología por parte de un técnico en radiología.
- El paciente deberá desnudar la zona anatómica a estudio; en algunos casos se le facilitará una bata para cubrirse; al mismo tiempo deberá retirase sus objetos personales, especialmente joyas y objetos metálicos que pueden interferir las imágenes radiológicas.
- El paciente permanecerá de pie o sobre una camilla durante el estudio, el técnico en radiología le indicará en cada momento la posición que debe adoptar durante el mismo.
- El número de radiografías a realizar dependerá de la zona anatómica a estudiar y de la causa por lo cual se realiza el estudio.
- El estudio suele durar entre 5 y 10 minutos
- Una vez obtenidas y reveladas o digitalizadas las imágenes radiológicas, serán enviadas al especialista en Radiología para su valoración y para la emisión de un informe radiológico destinado el médico que solicitó el estudio
- El estudio radiológico simple no requiere de preparación previa por parte del paciente.
- El paciente deberá desnudar la zona anatómica a estudio y retirar sus objetos personales, especialmente joyas y objetos metálicos.
- El estudio radiológico simple es indoloro para el paciente
PREPARACION PARA RX DE COLUMNA LUMBOSACRA, RX DE ABDOMEN SIMPLE, RX DE SACRO ILÍACAS, RX SACRO COXIGEA, RX DORSOLUMBAR:
Lea cuidadosamente y siga estas recomendaciones como preparación para el examen:
Dos días de dieta:
- Consuma almuerzo y cena livianos, coma consomé solo, gelatina, acompañados con abundantes líquidos, como jugos de papaya, piña o naranja, bebidas aromáticas y té durante todo el día.
- No consuma lácteos y gaseosas, bebidas negras ni fritos.
- En mayores de 18 años y Adultos
Debe ingerir por vía oral el contenido de un frasco de Travad Oral por 133 ml, el cual se debe tomar a las 12:00 p.m., a las 08:00 p.m., y a las 05:00 a.m.
Debe practicarse lavados rectales mediante la aplicación de Enema Travad, el cual se aplicara a las 08:00 p.m., y a las 05:00 a.m. Tenga en cuenta que esto te producirá diarrea.
“MAYORES DE 60 AÑOS Y NIÑOS DEBEN VENIR CON UN ACOMPAÑANTE Y TRAER ROPA COMODA”.
Ecografías
RECOMENDACIONES GENERALES PARA ECOGRAFÍA
Por favor asistir SOLO a la ecografía. Pacientes menores de edad deben asistir con un adulto responsable. Paciente adulto que necesite asistencia especial (adulto mayor o limitación a la movilidad) deben asistir con un adulto responsable. Llegar 30 minutos antes de la cita al lugar que le fue indicado al momento de la asignación para realizar ingreso y tener disponibilidad de 2 horas de tiempo. Traer orden y autorización vigente según su entidad. Traer estudios previos relacionados, si los tiene:
¿QUE ESTUDIOS NO NECESITAN PREPARACION ESPECIAL?
- Ecografía de tejido blando
- Ecografía de tiroides
- Ecografía de cuello
- Ecografía de glándula salival
- Ecografía transfontanelar.
- Ecografía articular
- Ecografía de cadera pediátrica
- Ecografía testicular
- Ecografía de pene
¿QUE ESTUDIOS REQUIEREN AYUNO?
- Ecografía Abdomen superio
- Ecografía Abdomen total
- Ecografía Hepatobiliar
- EN ADULTOS 8 HORAS
- EN NIÑOS 6 HORAS
- EN LACTANTES 4 HORAS
Si toma medicamentos para la coagulación, diabetes, hipertensión arterial, hipotiroidismo, NO debe suspenderlos.
¿QUE ESTUDIOS REQUIEREN VEJIGA LLENA?
- Ecografía renal o ecografía renal y de vías urinarias
- Ecografía Abdomen total
- Ecografía pélvica transabdominal.
PREPARACIÓN PARA LLENAR LA VEJIGA:
- Tomar 4 a 6 vasos de agua una hora y media a dos horas antes del examen. No reemplazar el agua por jugos, gaseosas u otras bebidas.
- No orinar durante el tiempo de la preparación (una hora y media a dos horas antes del examen)
- Niños mayores de dos años: tomar dos a tres vasos de agua una hora antes del examen y no orinar durante este mismo periodo de tiempo. Niños menores de dos años no requieren preparación para llenar la vejiga.
- Si tiene alguna indicación médica de restringir la ingesta de líquidos o usa sonda vesical por favor comuníquese con nosotros para orientarlo sobre su preparación
RECOMENDACIONES ESPECIALES
ESTUDIOS QUE REQUIEREN DOOPLER:
- Doppler renal requiere dieta blanda el día anterior. Suspender lácteos, café y gaseosas 3 días antes.
- En paciente portador de sonda Foley, se debe pinzar la sonda 4 horas previas al estudio y asistir para la realización del mismo.
- Todo menor de edad requiere de adulto acompañante
ESTUDIOS QUE REQUIEREN ENEMAS RECTALES:
- Únicamente ecografía de próstata o transrectal de próstata.
- El paciente debe aplicarse un enema Travad rectal de 133 ml dos horas antes del procedimiento, además de seguir las instrucciones que tiene el enema en su interior.
ECOGRAFÍA DE MAMA:
- Es primordial traer todos los estudios anteriores, siendo enfáticos en las mamografías y ecografías previas. Si existe antecedente oncológico de ser posible, la historia clínica.
- EEl día del examen por favor NO aplicarse cremas o lociones en las mamas ni desodorante en la región axilar.
ECOGRAFÍA OBSTÉTRICA:
- La ecografía ginecológica transvaginal: vejiga vacía, no acudir si tiene la menstruación
- Ecografía ginecológica transabdominal con la vejiga llena.
- Ecografía Obstétrica con la vejiga vacía.
- Ecografía Obstétrica Transvaginal: Para gestantes con un embarazo menor a 10 semanas de Gestación, vejiga vacía y aseo genital, debe llevar reportes de ecografías previas y reportes de BHCG. NO aplicarse gel cremas o aceites el día de la toma de la ecografía.
- Ecografía Obstétrica Transabdominal: con vejiga llena sin aplicarse aceites o gel y debe presentar reportes de ecografías previas de control prenatal
- Ecografía Doppler feto placentario: presentar reporte de ecografías previas, NO aplicarse gel cremas o aceites el día de la toma de la ecografía.
- Ecografía Pélvica transvaginal: vejiga llena, NO aplicarse gel o cremas, aceites en el abdomen el día del procedimiento
- Ecografía Pélvica transabdominal: vejiga llena, NO aplicarse gel o cremas, ni aceites.
Horario de Atención
Para el paciente hospitalizado la atención se garantiza las 24 horas.
Pacientes ambulatorios de lunes a viernes de 7: am a 12:00pm y de 2:00 am a 6:00 pm
Información de Contacto
Para mayor información telefónica puede comunicarse al (8) 8 362500.